LAHAN EYE CARE & RESEARCH CENTRE PVT. LTD.
(V.I.P. road, Allalpatti, Darbhanga)
OPD (Out Patient Department)



Cataract
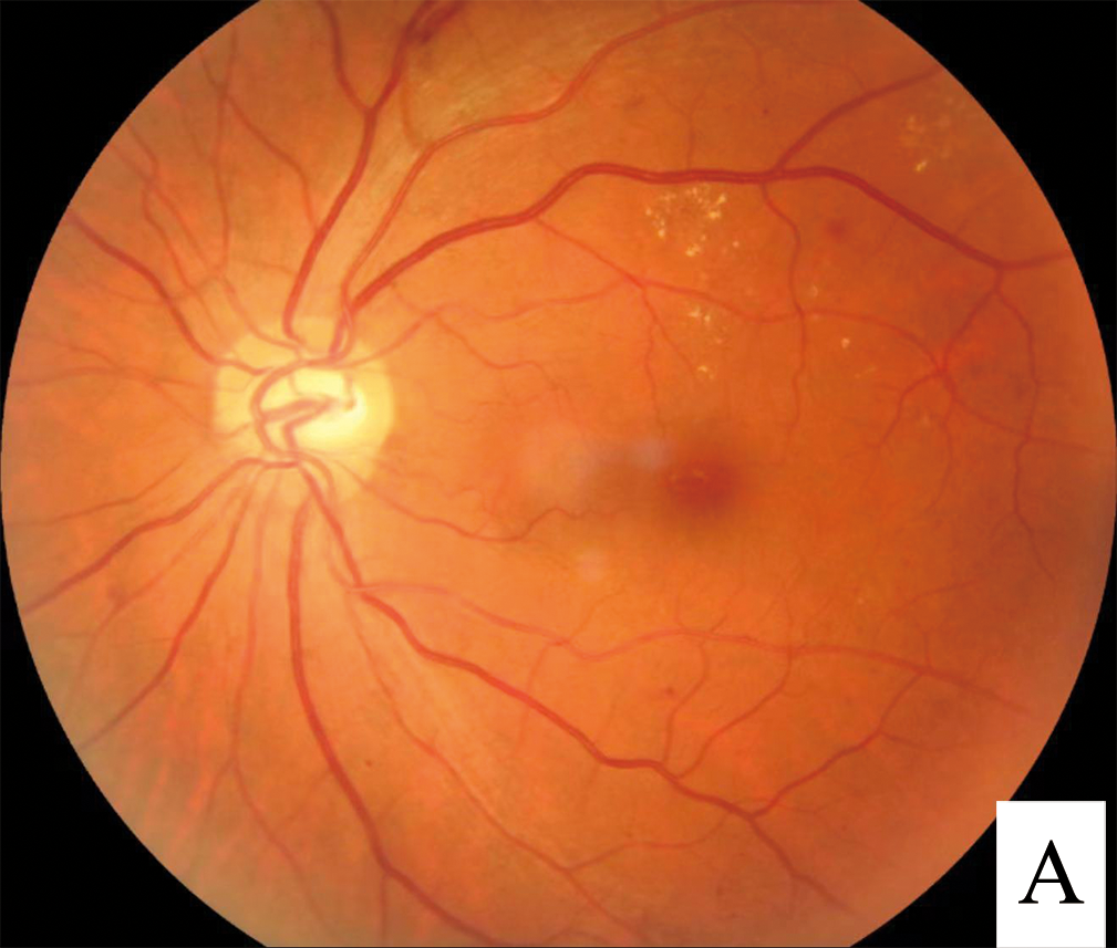
Diabetic Ratinopathy
Cornea


Glaucoma
Pediatric ophthalmology
All types of surgeries



Advanced cataract surgery
Phacoemulsification surgey
SICS surgery



Cornea and Anterior segment surgery
Glaucoma surgery
Lids surgery